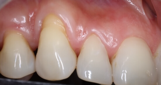
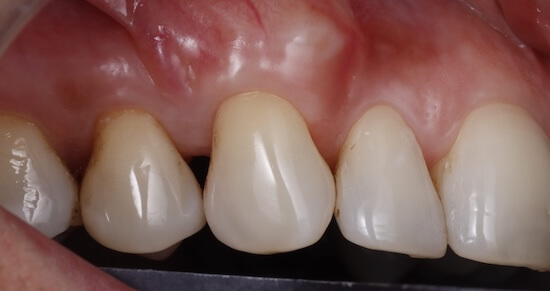
Jeff: Soft Tissue Grafting
Before

After

Jeff came to our dental clinic worried about his gum recession. He noticed his gums changing over a period of time and was worried about how long his teeth were starting to look. We were able to correct the gums and improve his overall gum health.
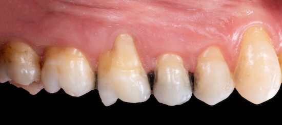
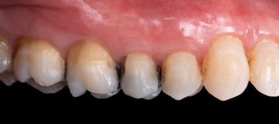
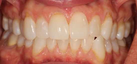
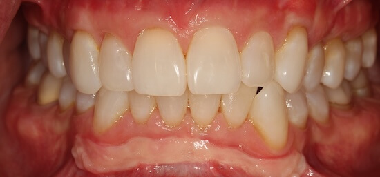
Scott: Soft Tissue Grafting
Before

After

Scott did not like the discoloration and the irregular length of his lower teeth. We worked as a team with his general dentist to create a whiter smile and decrease his gum recession that made his teeth look longer.
Joe: Upper and Lower Implant-Retained Overdenture ("Snap On" Dentures)
Before

After

Joe wanted to smile again. He has had problems with his teeth for a long time and wanted a long-term solution. With the removal of his existing broken-down teeth, along with the placement of multiple implants that helped hold his “snap-on” dentures, Joe was able to smile again!
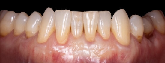
Margret: Gum Grafting
Before

After

Margret was worried about her gums recessing and felt sensitive when drinking cold water. We were able to correct her gum recession with a gum graft and aided in diminishing her cold sensitivity.
Shelly: Alloderm Grafting
Before

After

Shelly knew that due to crowding, her gums had started to recede; she noticed that it was continuing to get worse over time! After grafting with Alloderm, she has a renewed confidence knowing her teeth and gums are healthy for a lifetime.
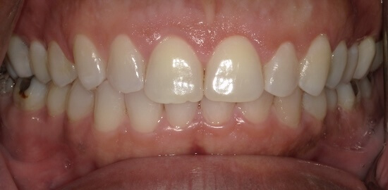
Nicole: Crown Lengthening
Before

After

Nicole was embarrassed to smile because of her two front teeth. She didn’t like that they didn’t match, and she would cover up her smile. After Crown Lengthening, she has a renewed sense of confidence and shows off her smile for all to see.
Sadie: Soft Tissue Grafting
Before

After

Sadie didn’t like the discoloration of the roots of her teeth, and that her teeth were getting longer. After soft tissue grafting, Sadie loves her new smile!
Karina: Crown Lengthening
Before

After

Karina didn’t like that her teeth were too short. She wanted to improve her smile, and she decided to have Crown Lengthening. Now, with her “new smile,” Karina can’t stop smiling!
Taylor: Crown Lengthening - Crowns
Before

After

Taylor always felt self-conscious about her smile. She didn’t like how her teeth “looked small". After Crown Lengthening and Crowns, she feels like a new person. Now she loves showing off her new smile!
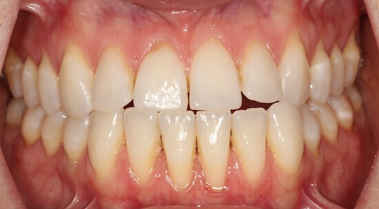
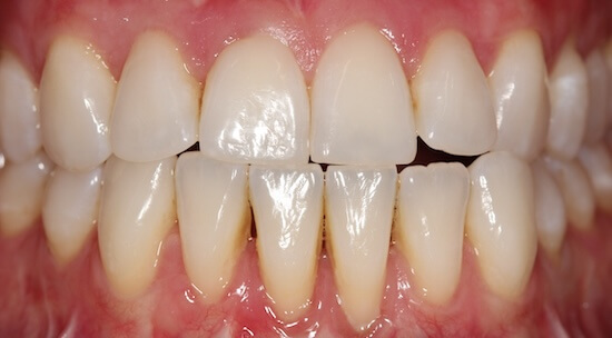
Heather: Crown Lengthening
Before

After

Heather didn’t like that her teeth were short, and she felt that she showed too much of her gums when she smiled. After Crown Lengthening, she feels totally different about her smile. She loves how her teeth look and can’t stop smiling.
Pagination
Get a brighter smile today!
Contact us now to schedule your appointment and have the smile you've dreamed about!